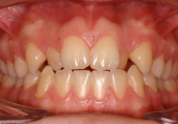
Que se passera-t-il lors de ma première visite?
Durant la première visite ou consultation, le Dr Jarjoura ou Gagnon effectue un examen détaillé du visage, de la position des dents et de la relation entre les dents du haut et celles du bas. Une radiographie permettant d’évaluer le développement dentaire sera prise à ce moment afin de guider l’orthodontiste dans son diagnostic. Suite à l’examen et à l’analyse de la radiographie, le Dr Jarjoura ou Gagnon sera en mesure de vous donner plus d’informations sur la nature du problème, le traitement recommandé et le meilleur moment pour débuter. Un bref aperçu du plan de traitement, incluant le type d’appareil suggéré et la durée anticipée, vous sera présenté, ainsi que les coûts reliés au traitement et les modalités de paiement. Si vous avez de l’assurance dentaire, l’information à transmettre à votre compagnie d’assurance vous sera également remise. Nous prendrons soin de répondre à toutes questions que vous pourriez avoir sur le traitement recommandé.
Quelles sont les différentes étapes du traitement?
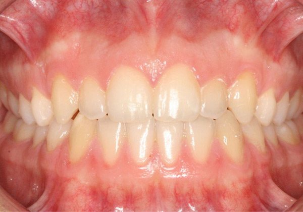
Si l’orthodontiste détermine la nécessité d’entreprendre un traitement, la prochaine étape consiste en la prise de données diagnostiques additionnelles. Typiquement, cela inclut des photographies du visage et des dents, des empreintes des dents du haut et du bas, un enregistrement de la relation entre les dents du haut et celles du bas (articulé) ainsi qu’une radiographie latérale du visage (radiographie céphalométrique). L’analyse de l’information obtenue permet de confirmer le plan de traitement. Occasionnellement, dans certains cas plus complexes, une rencontre avec les parents et le patient est nécessaire pour discuter du plan de traitement. Sinon, le prochain rendez-vous est habituellement consacré à la pose des broches ou à la prise d’empreintes pour tout autre appareil recommandé. Ce rendez-vous est habituellement le plus long de tout le traitement; il dure en moyenne une heure et demie. Les rendez-vous suivants sont consacrés à des ajustements et sont en général beaucoup plus courts. L’intervalle moyen entre ces visites est d’approximativement cinq semaines durant toute la durée du traitement actif.
Quand devrais-je commencer mon traitement?
Le début du traitement dépend du problème à corriger. Certaines conditions (voir la section sur l’orthodontie pour enfant) doivent être traitées dès l’âge de 7 ans ou même parfois plus tôt. Dans la plupart des cas, le traitement débute à l’adolescence, soit entre 10 et 15 ans. Suite à l’examen initial, le Dr Jarjoura ou Gagnon sera en mesure de vous informer du moment propice pour débuter.
Quelle est la durée anticipée du traitement?
La durée du traitement varie en fonction de la complexité du problème à corriger. La correction de problèmes de relation des mâchoires demande en général plus de temps que la correction de problèmes reliés strictement à la position des dents. Le traitement certaines conditions, comme les dents incluses, demande aussi plus de temps, en général. Le traitement orthodontique chez l’adulte est aussi habituellement plus long car les dents se déplacent habituellement plus lentement. Si deux phases de traitement s’avèrent nécessaires, la durée totale du traitement sera plus longue que si l’enfant n’est traité qu’en une seule phase. Le traitement en une seule phase dure en moyenne 24 mois, tandis qu’un traitement en deux phases peut prendre de 24 à 36 mois.
Le port d’appareils orthodontiques est-il inconfortable?
Une courte période d’adaptation est à prévoir suite à la pose des appareils orthodontiques. Lorsqu’une force est appliquée sur les dents, des zones de compression et de tension se produisent dans dans la membrane située autour des dents. C’est la source principale d’inconfort initialement. Pendant les premiers jours, il faut donc s’attendre à ce que les dents soient sensibles lorsqu’elles entrent en contact ensemble. La prise d’un analgésique léger (Tylénol, Motrin, Advil, etc.) durant cette période est recommandée. Le contact des boîtiers ou de toute autres composantes des appareils avec les joues ou les lèvres peut aussi être une source d’inconfort. De la cire orthodontique, qui vous sera remise suite à l’installation des appareils, peut être appliquée directement sur la portion irritante. Après quelques jours, si l’inconfort persiste, contactez-nous et vous serez vu en urgence pour remédier à la situation.
Quelles modifications devrais-je apporter à ma diète?
Une liste détaillée des aliments à éviter vous sera remise après la mise en bouche des appareils. En résumé, tout aliment trop dur ou trop collant est à éviter. Les fruits et les légumes doivent être coupés en petits morceaux ou encore être cuits avant d’être ingérés. La consommation d’aliments à haute teneur en sucre est acceptable, mais seulement au moment des repas et à condition d’être suivie d’une séance de brossage.
Que faire s’il y a un bris d’appareil ou autre inconvénient entre les rendez-vous?
Les problèmes les plus fréquents, et leurs solutions, seront révisées avec vous lors de la mise en bouche des appareils. En résumé, si un boîtier décolle entre les visites de suivi, il est important de nous en aviser. Une décision sera alors prise à savoir s’il doit être remplacé immédiatement ou si l’on peut se permettre d’attendre à la prochaine visite pour le faire. Le fil reliant les boîtiers ensemble peut occasionnellement se déplacer et ainsi irriter la joue ou la gencive. Si cela se produit, appliquer de la cire sur le fil jusqu’à la prochaine visite. Si la situation s’avère trop inconfortable, contactez-nous pour obtenir un rendez-vous d’urgence. Si le fil se désengage du boîtier terminal, essayez de le remettre en place ou, si cela s’avère impossible, coupez-le avec un coupe-ongles. En cas de bris de tout autre appareil (amovible ou fixe), contactez le bureau immédiatement.
Comment faire pour garder mes dents et mes gencives en santé durant le traitement?
Il est primordial de suivre les conseils d’hygiène qui vous seront donnés lors de la pose des appareils. En effet, une accumulation excessive de plaque (bactéries) autour des boîtiers ou autres appareils peut causer l’enflure et le saignement des gencives et même, dans certains cas, accélérer la perte de support osseux autour des dents. Une mauvaise hygiène peut aussi entraîner des taches blanches permanentes ou des caries autour des boîtiers. L’utilisation d’une brosse à dents spéciale (proxa-brush) permettant de bien nettoyer entre les dents et le fil orthodontique ainsi que l’usage du fil de soie dentaire, à l’aide d’un enfileur, sont recommandés et vous seront démontrés. Un rince-bouche à base de fluor peut être utile comme aide additionnelle pendant le traitement, surtout chez les patients ayant une mauvaise hygiène. Prenez note que vous devez continuer de voir votre dentiste pour des nettoyages dentaires durant votre traitement.
À quelle fréquence dois-je être vu durant mon traitement?
La fréquence des rendez-vous de suivis (ajustements) dépend du type de traitement et peut varier de une à huit semaines. L’intervalle moyen pour un traitement complet est de cinq semaines.
Combien coûtera le traitement?
Le coût du traitement varie d’un patient à l’autre en fonction de la difficulté du cas et de la durée anticipée du traitement. Une estimation du coût vous sera remise lors de l’examen initial.
Devra-t-on m’enlever des dents?
Cela dépend du problème à corriger. Des dents permanentes doivent occasionnellement être enlevées en présence de chevauchement sévère ou lorsque de l’espace doit être créé pour reculer des dents trop avancées.
Mes dents vont-elles se déplacer suite au traitement?
La position des dents est affectée par la pression des lèvres, des joues et de la langue ainsi que par les changements des structures faciales avec le temps. Le port d’appareils de rétention est donc primordial afin de conserver la correction obtenue. Un fil fixe est habituellement collé sur la face intérieure des dents Ces appareils sont amovibles et peuvent donc être retirés au besoin. Nous recommandons le port de l’appareil à temps plein durant les premiers six mois suivant le retrait des boîtiers, et la nuit seulement jusqu’à la fin de la croissance ou au cours de l’année suivante pour les adultes. L’appareil est utilisé par la suite quelques fois par semaine pour une durée indéfinie. Dans certains cas, un fil fixe, collé sur la surface intérieure des dents (face à la langue), est utilisé comme mode de rétention.
J’ai entendu parler d’un nouveau procédé invisible pour bouger les dents (Invisalign®). Suis-je un bon candidat pour ce type de traitement?
Seul un examen détaillé par un orthodontiste permettra de déterminer si ce type de traitement est approprié pour vous. Le procédé Invisalign® a grandement évolué au cours des dernières années et peut maintenant être utilisé pour le traitement de problèmes d’occlusion de plus en plus complexes. Certains cas, cependant, seront mieux traités avec des appareils fixes conventionnels. Plus d’information sur le traitement avec le système Invisalign® est disponible au