Centre de spécialité orthodontique de Gatineau
Au Centre de spécialité orthodontique de Gatineau
Tout est possible
Tout est réalisable
Tout est envisageable
Les débuts
C’est en 1992 que le Dr Maurice St-Pierre ouvre les portes de la clinique du 85 rue Bellehumeur. En 2005, un nouveau docteur se joint au Dr St-Pierre pour le plus grand bénéfice de la clientèle qui apprécie grandement son approche humaine et délicate.
Qu’est-ce que l’orthodontie?
L’orthodontie est une spécialité de la médecine dentaire vouée au diagnostic, à la prévention et à la correction des anomalies de position des dents et des malocclusions dans un but fonctionnel et esthétique. L’orthodontie améliore des fonctions telles que la mastication, la respiration, la déglutition et la croissance.
Aussi, les dents alignées sont plus faciles à nettoyer, ce qui est favorable pour la prévention des caries, des maladies de gencives et, dans certains cas extrêmes, la perte des dents. Esthétiquement parlant, les patients qui bénéficient d’un traitement orthodontique voient leur estime de soi grandement améliorée par les bienfaits esthétiques du traitement.
L’orthodontiste

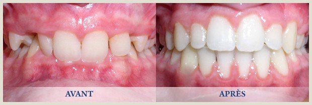
Ce que l'orthodontie peut corriger :

Orthodontie pour enfants
L’âge idéal pour une première consultation est de 7 ans. C’est à cet âge que les dents d’adulte se présentent en bouche et que certaines anomalies, comme une constriction palatine, peuvent être corrigées.
Par un traitement de première phase, il est possible d’éviter une chirurgie à l’âge adulte et/ou d’éventuelles extractions de dents permanentes en corrigeant un palais trop étroit, de créer de l’espace pour les dents à venir, de corriger certaines mauvaises habitudes comme sucer son pouce ou une déglutition atypique. De plus, si à l’adolescence, un traitement de deuxième phase s’avérait nécessaire, celui-ci pourrait être de plus courte durée et de complexité moindre.
Nous offrons des boîtiers blancs (3M Clarity), des appareils personnalisables, des élastiques et/ou ligatures de couleurs qui sont changeables à chaque rendez-vous.
Orthodontie pour ados
L’âge idéal pour entreprendre un traitement d’orthodontie est l’âge dentaire d’environ 11 ans. À cet âge, l’enfant est en pleine croissance, ce qui nous permet de rétablir la relation des mâchoires et l’alignement des dents ainsi que toute autre problématique à son plein potentiel.
Par un traitement de première phase, il est possible d’éviter une chirurgie à l’âge adulte et/ou d’éventuelles extractions de dents permanentes en corrigeant un palais trop étroit, de créer de l’espace pour les dents à venir, de corriger certaines mauvaises habitudes comme sucer son pouce ou une déglutition atypique. De plus, si à l’adolescence, un traitement de deuxième phase s’avérait nécessaire, celui-ci pourrait être de plus courte durée et de complexité moindre.
Nous offrons des boîtiers blancs (3M Clarity), des appareils personnalisables, des élastiques et/ou ligatures de couleurs qui sont changeables à chaque rendez-vous.

Orthodontie pour adultes
Il n’y a pas d’âge pour vous offrir le sourire dont vous avez toujours rêvé. Les adultes de tous les âges peuvent bénéficier d’un traitement orthodontique. L’Association des orthodontistes du Québec estime que 20% des patients traités en orthodontie sont des adultes et ce pourcentage ne cesse d’augmenter. En consultation, la santé de vos dents, gencives et de l’os qui les supportent sera évaluée afin que nous puissions vous proposer un traitement adapté à vos besoins. Différentes options s’offrent à vous comme les coquilles transparentes amovibles (Invisalign).
De plus, nous utilisons la technique SureSmile © qui, selon le ‘’World of Journal of Orthodontics’’, assure une efficacité supérieure sur la qualité du traitement de l’ordre de 25 % et une réduction de la durée du traitement de 40%.


Votre traitement Invisalign consiste en une série d’aligners transparents, quasi-invisibles et amovibles que vous changez toutes les deux semaines. Chaque aligner est fabriqué individuellement et sur mesure pour vos dents. Vos dents se déplacent peu à peu, semaine après semaine, lorsque vous passez à l’aligner suivant, ce jusqu'à ce qu'elles soient redressées et atteignent la position finale prescrite par votre orthodontiste.
De plus, un modèle virtuel en trois dimensions de votre plan de traitement appelée ClinCheck® permet de visualiser la série de mouvements que vont effectuer vos dents au cours du traitement. Vous pouvez ainsi visualiser la position de vos dents et votre sourire à la fin du traitement. À partir des résultats du logiciel ClinCheck®, vos aligners transparents seront fabriqués spécialement pour vous.
Si vous êtes prêt(e) à améliorer votre sourire, Invisalign est la réponse. Il existe de nombreux traitements, mais aucun ne présente le confort d'Invisalign.

Un scan iTero est utilisée pour créer un modèle 3D de la bouche du patient. Ensuite, à l’aide du logiciel spécialisé de SureSmile, nos docteurs déplacent les dents à l’ordinateur afin d’obtenir un résultat optimal. Puis, le logiciel fabrique robotiquement des fils personnalisés, créés sur mesure pour le patient.

Les broches LightForce représentent une avancée innovante dans la technologie orthodontique, offrant aux patients une approche plus personnalisée pour obtenir le sourire qu’ils désirent. Contrairement aux appareils métalliques traditionnels, qui utilisent des broches standard pour tous les patients, les appareils LightForce exploitent une technologie de pointe pour un ajustement sur mesure à chaque individu. Cette personnalisation améliore le confort et simplifie le processus de traitement, permettant des résultats plus rapides et plus efficaces.
Le concept derrière les broches LightForce est simple mais révolutionnaire. En utilisant la technologie d'impression 3D et la planification numérique, les orthodontistes peuvent concevoir des broches qui s'adaptent parfaitement aux contours uniques des dents de chaque patient. Cette précision garantit un fonctionnement plus efficace des appareils, en appliquant la pression exactement là où elle est nécessaire pour guider les dents vers leur position idéale. Contactez-nous pour en savoir plus sur LightForce.
Nos coordonnées
85 rue Bellehumeur suite 302Gatineau, Québec J8T 8B7
Heures d'ouverture
- Lundi 8h à 12h -13h à 17h
- Mardi 8h à 12h -13h à 17h
- Mercredi 8h à 13h - 14h à 17h
- Jeudi 8h à 12h - 13h à16h30
- Vendredi Fermé
